
뇌종양(brain tumor)은 뇌뿐 아니라 뇌주변의 뇌신경, 뇌막, 뇌혈관, 두개골, 두피에서 발생하는 모든 종양을 의미합니다. 원발성 뇌종양인 경우 뇌교종, 수막종, 뇌하수체 선종, 청신경초종이 가장 흔하며, 뇌전이암 또한 많이 발생합니다. 원발성 종양은 최초 발생부위 및 종양세포의 종류에 따라 병리학적으로 세분화되어 있습니다.
2021년 발표된 국가암등록통계에 따르면 2019년 우리나라의 암 발생 총 254,718건 중, 뇌 및 중추신경계의 악성종양은 총 1,981건으로 전체 암 발생의 0.8%를 차지했습니다. 성별로 구분하였을 때 전체 남자 암발생률 중 0.8%(1,070건), 전체 여자 암발생률 중 0.8%(911건)로 보고되었습니다.
(보건복지부 중앙암등록본부 2021년 12월 발표 자료)
뇌교종
뇌교종은 뇌를 구성하고 있는 신경세포와 이를 지지하는 교세포 중 교세포에서 기원하는 종양을 의미하며, 악성뇌교종이란 뇌교종 중 그 특성이 악성을 보이는 종양을 통틀어 일컫는 포괄적인 용어입니다. 뇌 내에서 생기는 뇌교종의 경우 뇌 밖에서 생기는 종양이 대부분 양성인 것과 달리 침습적인 성장을 하며 경계가 불분명하고 악성인 경우가 많습니다. 교종 중 절반 이상이 악성이며, 양성인 신경교종도 시간이 경과하면서 악성화 되는 경향이 있습니다. 좁은 의미로는 이러한 종양 중 빈도가 가장 많고 악성도 역시 가장 높은 교모세포종을 악성뇌교종이라고 합니다. 국내에서는 연간 약 600여명의 환자가 발생하는 것으로 추정되며 특히 40세 이후에 발생빈도가 높습니다. 서양에 비해 발생빈도가 다소 낮은 편입니다.
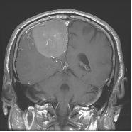
수막종(Meningioma)
수막종은 축외 뇌종양 중 가장 발생빈도가 높은 종양으로 원발 뇌종양의 약 25%를 차지합니다. 주로 40~50대 성인에 많이 발생하고 2:1의 비율로 여자에게서 더 많이 발생한다고 알려져 있습니다. 수막종은 수술만으로 완치될 가능성이 매우 높은 양성종양으로, 뇌를 지지하는 뇌막인 수막(meninges)의 구성 성분인 지주막세포에서 기원한다고 알려져 있습니다. 수막종은 지주막 세포가 분포한 곳에서는 어디서나 발생하지만, 이들 세포의 밀도가 높은 시상 정맥동 주변, 대뇌궁륭부, 뇌바닥, 후두개와 등에서 더 빈번하게 발생합니다.
수막종은 성장 방식 및 종양의 성상에 몇 가지 특징을 가집니다. 이 종양은 대부분 뇌경막에서 발생하여 딱딱한 두개골 때문에 밖으로 자라지 못하고 거의 항상 뇌조직 쪽으로 자랍니다. 그러나 침습적인 성장이 아니어서 뇌조직과 종양 사이에 연뇌막은 물론 뇌척수액을 포함한 지주막이 대부분 잘 보존되며, 이로 인해 신경학적 장애를 초래하지 않고 종양을 절제할 수 있습니다. 종양 자체는 단단하고 혈관분포가 풍부한 것이 특징입니다.


뇌하수체 선종(Pituitary adenoma)
뇌하수체 선종은 원발성 뇌종양의 약 15~20%를 차지하는 양성종양으로, 주로 성인에서 발생하며 여자에게 더 많이 발생하는 종양입니다. 뇌하수체란 뇌의 정중앙부 하단에 위치한 신체기관으로, 주 기능은 다양한 호르몬의 분비입니다. 이 호르몬들은 직접 신체에 영향을 미치거나 타 장기에 있는 호르몬샘의 기능을 조절하게 되어 전체적으로 우리 몸의 호르몬 분비를 총괄하게 됩니다.
뇌하수체 선종은 종양의 크기가 10mm를 넘었는지에 따라 거대선종과 미세선종으로 구분할 수 있으며, 종양의 호르몬 분비 여부에 따라 기능성 뇌하수체 선종과 비기능성 뇌하수체 선종으로 분류할 수 있습니다. 호르몬의 과다분비로 인한 기능성 선종의 경우 미세선종이 흔하며 대부분 호르몬 과다분비에 따른 증상으로 발견됩니다. 비기능성 종양의 경우 거대선종인 경우가 많고 시신경 압박에 의한 시력 감퇴와 시야 축소 또는 두통 등의 증상으로 발견됩니다.


청신경초종
신경초종은 신경세포를 둘러싸고 있는 슈반세포에서 기원한 종양이며, 뇌와 척수에서 모두 발생할 수 있습니다. 이 중 두개강 내에 8번 뇌신경에서 발생하는 신경초종을 청신경초종이라고 합니다. 초기에는 내이도 내에서 발견되고 종양이 커지면서 내이도가 확장되고 다양한 방향으로 자라나 주위 뇌신경, 뇌간, 및 소뇌를 압박하여 여러 신경학적 증상을 유발합니다. 발생 빈도는 원발성 두개강 내 종양의 6~9% 정도이고 두개강 내에 발생하는 신경초종의 90%이상을 차지합니다. 주로 30세 이후의 성인에서 발생하며 여성이 남성보다 2배 정도 발생률이 높다고 알려져 있습니다. 20세 미만에서는 제2형 신경섬유종증 환자에서 양측성으로 주로 발생합니다. 청신경초종은 95% 이상이 편측성으로 발생하고, 이 경우 비유전적으로 발생합니다. 약 5%이하에서 양측성으로 발생하는 경우가 있는데 이는 제2형 신경섬유종증과 연관되어 있을 가능성이 높습니다. 제2형의 신경섬유종증은 제1형 신경섬유종증에 비해 아주 드물게 발생하는데 양측에 발생한 청신경초종 또는 청신경초종이 동반된 다발성 뇌척수 수막종, 성상 세포종, 상의 세포종 등이 주로 발생하는 것으로 알려져 있습니다.



'건강관리' 카테고리의 다른 글
| 독감, 제대로 알고 대처하자 (0) | 2022.11.15 |
|---|---|
| 양성 뇌종양의 증상과 치료 (0) | 2022.11.13 |
| 간암의 치료, 경과 및 합병증 (0) | 2022.11.12 |
| 간암의 정의, 원인과 증상 (0) | 2022.11.12 |
| 대장암의 경과 및 합병증 (0) | 2022.11.12 |
댓글